Infecties en immuunziekten

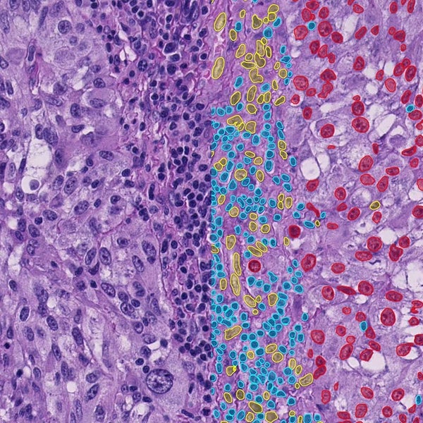
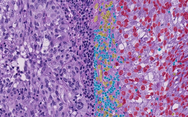
AI voorspelt succes van anti-kankertherapie
Lees meer

Het geheim van moedermelk
Lees meer

Baby’s krijgen bescherming tegen het RS-virus
Lees meer

Precisiegeneeskunde bij zeldzame varianten CF
Lees meer

Patiënten in actie voor gordelroosvaccin
Lees meer

Een nieuwe blik op vaccineren hoognodig
Lees meer

Thijn Brummelkamp ontvangt de Spinozapremie
Lees meer

Helder informeren over preventie tegen RS-virus
Lees meer

Helen Leavis hoogleraar Klinische Immunologie
Lees meer

Mijn batterijtje gaat gewoon wat sneller leeg
Lees meer

Antibiotica bij ouderen met urineweginfecties
Lees meer

Dik overleeft vleesetende bacterie en doneert
Lees meer

Amerikaanse subsidies voor UMC Utrecht spin-off
Lees meer

Geen oversterfte door COVID-19 vaccinaties
Lees meer

Zelfmanagement jongeren helpt bij vermoeidheid
Lees meer

Naar beter begrip van chronische pijn
Lees meer

Toegang tot RSV-vaccins rechtvaardig verbeteren
Lees meer

Nieuwe stap strijd tegen antibioticaresistentie
Lees meer

ERC Starting Grant voor twee onderzoekers
Lees meer

Wondere wereld van immuuntherapie
Lees meer